PETNI TRN

… JE BOLNI SINDROM KOJI PODRAZUMEVA BOL U PETNOJ REGIJI STOPALA. BOL SE JAVLJA PRI OSLONCU NA STOPALO I PRI HODU.
OVAJ BOL MOŽE BITI VEOMA INTENZIVAN I ONEMOGUĆITI OBAVLJANJE DNEVNIH I POSLOVNIH AKTIVNOSTI.
POSEBNO IZRAŽENE TEGOBE PACIJENTI OSEĆAJU UJUTRO ODMAH PO USTAJANJU IZ KREVETA DOK SE STOPALO MALO NE „ZAGREJE“.
- Simptomi – petni trn – plantarni fascitis
- Bol regije pete pri osloncu
- Bol regije pete pri dodiru se diferencira jasno mesto bola
- Jak bol pri prvom kontaktu pete sa podlogom posle dužeg ležanja ili sedenja
- Bolovi se olakšavaju pri rasterećenju ali potpuno jenjavaju tek posle nekog vremena
NIJE SVAKI BOL U STOPALU ODMAH I PETNI TRN IAKO PACIJENTIMA TAKO IZGLEDA.

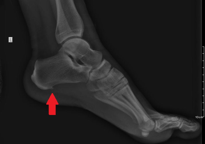
DIJAGNOSTIKA
DIJAGNOSTIKA SE SPROVODI KLINIČKIM PREGLEDOM I RADIOLOŠKIM PREGLEDOM.
SAM PETNI TRN SE VIDI NA RENGENSKOM SNIMKU KAO NAKUPINA KALCIJUMA NA PRIPOJU PLANTARNE FASCIJE ZA PETNU KOST.
ULTRAZVUČNI PREGLED SE MOŽE KORISTITI KAO ALAT ZA ORIJENTACIJU ALI NE I ZA POUZDANU DIJAGNOSTIKU OVOG STANJA.
KAKO NASTAJE PETNI TRN
PETNI TRN SE FORMIRA SE KAO POSLEDICA DUGOTRAJNOG HRONIČNOG PREOPTEREĆENJA UPRAVO PLANTARNE FASCIJE.
PREOPTEREĆENJE PLANTARNE FASCIJE JE UZROKOVANO SPUŠTANJEM UZDUŽNIH SVODOVA STOPALA, KOJE JE PAK, UZROKOVANO SLABLJENJEM MUSKULATURE STOPALA.
SLABLJENJE MUSKULATURE DOVODI I PROMENAMA NA ZGLOBOVIMA STOPALA. DOLAZI I DO NAPINJANJA PLANTARNOG LIGAMENTA KOJI JE PASIVNI STABILIZATOR UZDUŽNIH SVODOVA.
SVOJU ULOGU U SPUŠTANJU SVODOVA IMA I NASLEĐE A I POVEĆANA UKUPNA TELESNA MASA.
PRI LEČENJU OVOG PROBLEMA, TREBA IMATI NA UMU DA JE PETNI TRN POSLEDICA HRONIČNIH TEGOBA A NE UZROK BOLA.
TERAPIJSKI PROTOKOL TREBA USMERITI NA ELIMINACIJU BIOMEHANIČKIE ETIOLOGIJE A NE NA UKLANJANJE SAME STRUKTURE.
PETNI TRN – TERAPIJA
LEČENJE PETNOG TRNA U PRO FIZIO AMBULANTI ZASNIVA SE UPRAVO NA KOREKCIJI UZROKA KOJI DOVODE DO NAPETOSTI FASCIJE I FORMIRANJA KALCIFIKACIJE NA NJENOM PRIPOJU.
KINEZITERAPIJA JE TERAPIJSKI METOD NA KOJI SE NAJVIŠE OSLANJAMO U LEČENJU TEGOBA U STOPALU.
LOKALNO PRIMENJUJEMO I FIZIKALNE AGENSE ZA KONTROLU BOLA, BIOSTIMULACIJU I POBOLJŠANJA OPŠTEG KVALITETA TKIVA.
TERAPIJSKI AGENSI KAO ŠTO SU LASER, ELEKTROFOREZA, ULTRAZVUK, TECAR, SPADAJU U GRUPU AGENSA ZA KOJE SE PREMA INDIKACIJI ODLUČUJEMO U TRETMANU OVOG STANJA.
MEHANIČKI (ZVUČNI) UDARNI TALAS – SHOCK WAVE JE SVE ZASTUPLJENIJI AGENS U TRETMANU PETNOG TRNA. PRETPOSTAVLJENO JE DA ĆE MEHANIČKA SILA UDARNOG TALASA POREMETITI KRISTALNU STRUKTURU KALCIFIKATA I DOVESTI DO NJEGOVE BRŽE RESOPCIJE.
VAŽNO JE NAPOMENUTI DA JOŠ UVEK NE POSTOJE ZNAČAJNIJE STUDIJE KOJE BI POTVRDILE USPEŠNOST PRIMENE SHOCK WAVE TERAPIJE U SMISLU ELIMINACIJE SAMOG KALCIFIKATA.
IPAK SHOCK WAVE JE METODA KOJA JE U STUDIJAMA POTVRDILA SVOJU ULOGU U SMISLU OLAKŠANJA UKUPNIH TEGOBA I UNAPREĐENJA TERAPIJSKOG PROTOKLA.
TRAJNI REZULTAT LEČENJA SE POSTIŽE KADA SE PODIGNE TONUS I SNAGA MIŠIĆA STOPALA, KORIGUJE VISINA I FUNKCIJA SVODOVA ČIME SE SMIRUJU I UKUPNE TEGOBE.
U FAZI BOLA POTREBNO JE NOSITI MEKANU OBUĆU SA ULOŠKOM KOJI JE NAJBOLJI AKO JE IZRAEN PREMA OTISKU STOPALA. MEKANA OBUĆA, KOREKTIVNI ULOŽAK, VEŽBE ZA SVODOVE STOPALA, IZBEGAVANJE RAVNE OBUĆE I PREVIŠE HODA I STAJANJA NA BOLNOJ NOZI SU SAVETI KOJI ĆE SIGURNO POMOĆI.
POVEĆANJEM FUNKCIJE CELOKUPNOG DONJEG KINETIČKOG LANCA KORIGUJE SE I STATIČKO I DINAMIČKO DRŽANJE TELA I SPREČAVA SE PONOVNO NASTAJANJE OPISANIH TEGOBA.


Zanima me cena, imam petni trn i bas imam bolove. Gde se nalazite?
Poštovana Marina,
Mi se nalazimo na adresi Vojvode Stebe 347b u Beogradu i svakako možete nas nazvati na telefon: 064 111 5794 radi dogovora oko termina.
Lep pozdrav,
Pro fizio tim
Poštovani,
Predpostavljam da Vas interesuje cena terapije Šok Vejv talasima?
Cena jedne terapije je 2000 dinara.
Ipak bol plantarne regije stopala jeste malo kompleksniji pa Šok Vejv kao monoterapijska opcija nije u potpunosti efikasan.
Naš predlog i pravilo poslovanja je da dođete sa svom svojom medicinskom dokumentacijom kod nas na pregled, gde ćemo utvrditi stanje i predložiti terapijski koncept.
Srdačan pozdrav,
Pro Fizio tim
Dobar dan, imam pitanje u vezi sa sok vejv terapijom. Da li je normalno da se oseti veca osetljivost, tj bol dan nakon prve terapije? Hvala na odgovoru
Poštovani,
Na žalost nismo uvek u mogućnosti da odgovorimo na vreme.
Šok Vejv je proinflamatorni agens, stimuliše lokalnu zapaljensku reakciju kako bi ponovo aktivirao proces regeneracije.
Tako da, odgovor na Vaše pitanje je potvrdan. Posle Šok vejv terapije pojačano osetljivost može trajati i nekoliko dana.
Važno je da svoj subjektivni osećaj prijavite i jasno opišete osobi koja vam aplikuje i dozira tretman kako bi dozu prilagodila vašem trenutnom stanju.
Srdačan pozdrav,
Pro Fizio tim